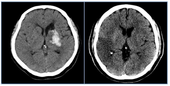
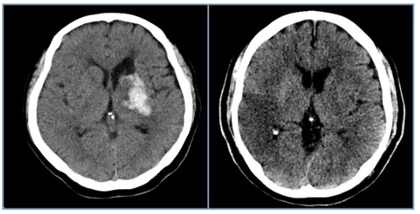
뇌경색 전조증상은 뇌혈관이 막혀 뇌로 가는 혈류가 차단되면서 뇌세포가 손상되기 시작할 때 나타나는 신호입니다. 뇌졸중의 약 80%를 차지하는 뇌경색은 특히 치료 후 장애를 남길 가능성이 높아, 증상 발현 시 최대한 빠르게 혈관 재개통 치료를 받는 것이 중요합니다. 이 허혈성 손상 신호들을 놓치지 않고 인지해야 합니다. 뇌경색 및 뇌혈관 질환에 대한 정보를 확인하려면 지금 바로 아래 버튼을 클릭하여 대한신경과학회 공식 홈페이지를 방문하십시오.
https://new.neuro.or.kr/
new.neuro.or.kr

1. 가장 흔한 신호: 편측 마비와 감각 저하
뇌졸중의 대표적인 신호인 FAST 원칙이 뇌경색 전조증상에서도 가장 명확하게 나타납니다.
- 편측 마비: 얼굴, 팔, 다리 중 한쪽에서 갑자기 힘이 빠지거나 마비되는 느낌이 듭니다.
- 감각 이상: 한쪽 몸의 감각이 둔해지거나 저릿저릿한 이상 감각을 느낍니다.
2. 언어 및 시력 장애
언어 중추나 시각 중추가 손상되면서 나타나는 증상입니다.
- 구음 장애 (말 어눌함): 발음이 부정확해지거나 침을 흘립니다.
- 실어증: 말을 이해하지 못하거나(베르니케 실어증), 말을 제대로 표현하지 못합니다(브로카 실어증).
- 시야 결손: 한쪽 눈의 시력이 급격히 떨어지거나, 시야의 일부가 보이지 않습니다.
3. 일과성 허혈 발작 (TIA)의 중요성
뇌경색이 발생하기 전 가장 강력한 경고입니다.
- 일시적 증상: 뇌혈관이 막혔다가 다시 뚫려 마비나 언어 장애 등의 전조증상이 수 분 이내로 완전히 회복됩니다.
- 즉각적인 검사: 증상이 사라졌더라도 TIA를 경험한 환자는 수일 내에 실제 뇌경색이 발생할 위험이 매우 높으므로 반드시 응급실을 방문하여 정밀 검사를 받아야 합니다.
4. 혈전 용해 치료의 골든타임
뇌경색의 치료는 막힌 혈관을 뚫는 혈전 용해술이 핵심이며, 증상 발현 후 4.5시간 이내에 치료해야 효과적입니다. 따라서 증상 발현 시간을 정확히 기억하고 지체 없이 119에 신고하여 병원으로 이송되어야 합니다.